Aniversário da Abril: Super em Casa por 10,99

Tudo sobre infecção

Frangos que tomam suco de bactéria podem ajudar a impedir infecção por Salmonella

Frangos que tomam suco de bactéria podem ajudar a impedir infecção por Salmonella

Por Eduardo Lima 21 jun 2025, 19h00 | Atualizado em 23 jun 2025, 13h50
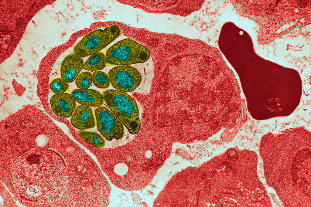
Vírus gigante infecta e mata ameba Naegleria, a “comedora de cérebros”

Vírus gigante infecta e mata ameba Naegleria, a “comedora de cérebros”

Por Bruno Vaiano Materia seguir SEGUIR Materia seguir SEGUINDO 26 abr 2024, 14h00 | Atualizado em 26 abr 2024, 14h44
Experiência ressuscita moléculas neandertais

Experiência ressuscita moléculas neandertais

Por Bruno Garattoni Materia seguir SEGUIR Materia seguir SEGUINDO 14 set 2023, 17h07 | Atualizado em 13 nov 2023, 06h13
A infectologia de The Last of Us: as diferenças entre ficção e realidade

A infectologia de The Last of Us: as diferenças entre ficção e realidade

Por Leo Caparroz 31 jan 2023, 21h42 | Atualizado em 14 mar 2024, 11h31
Microrrobôs varrem pneumonia do pulmão de ratos

Microrrobôs varrem pneumonia do pulmão de ratos

Por Leo Caparroz 29 set 2022, 18h50 | Atualizado em 30 set 2022, 07h31
Ele descobriu que médicos devem lavar as mãos. E foi dado como louco

Ele descobriu que médicos devem lavar as mãos. E foi dado como louco

Por Alexandre Carvalho 5 Maio 2022, 14h03 | Atualizado em 5 Maio 2022, 14h39
Pesquisadores confirmam transmissão entre humanos do vírus Chapare

Pesquisadores confirmam transmissão entre humanos do vírus Chapare

Por Carolina Fioratti 18 nov 2020, 16h11 | Atualizado em 18 nov 2020, 16h13
Bactérias com capacidade redobrada de captar açúcar são risco para diabéticos

Bactérias com capacidade redobrada de captar açúcar são risco para diabéticos

Por Carolina Fioratti 13 nov 2020, 18h30 | Atualizado em 14 nov 2020, 10h15
Nos períodos de seca, parasita da malária se esconde no sangue de hospedeiros

Nos períodos de seca, parasita da malária se esconde no sangue de hospedeiros

Por Carolina Fioratti 27 out 2020, 17h26 | Atualizado em 27 out 2020, 17h30
26% dos paulistanos já foram infectados pelo coronavírus, diz estudo

26% dos paulistanos já foram infectados pelo coronavírus, diz estudo

Por Carolina Fioratti 22 out 2020, 16h16 | Atualizado em 22 out 2020, 16h17
Mundo supera um milhão de mortes pela Covid-19

Mundo supera um milhão de mortes pela Covid-19

Por Carolina Fioratti 28 set 2020, 17h07 | Atualizado em 28 set 2020, 17h09
Continua após publicidade

Matéria exclusiva para assinantes. Faça seu login

Este usuário não possui direito de acesso neste conteúdo. Para mudar de conta, faça seu login

OFERTA RELÂMPAGO

Digital Completo

Enquanto você lê isso, o mundo muda — e quem tem Superinteressante Digital sai na frente.
Tenha acesso imediato a ciência, tecnologia, comportamento e curiosidades que vão turbinar sua mente e te deixar sempre atualizado
De: R$ 16,90/mês Apenas R$ 1,99/mês
ECONOMIZE ATÉ 52% OFF

Revista em Casa + Digital Completo

Superinteressante todo mês na sua casa, além de todos os benefícios do plano Digital Completo
De: R$ 26,90/mês
A partir de R$ 12,99/mês

*Acesso ilimitado ao site e edições digitais de todos os títulos Abril, ao acervo completo de Veja e Quatro Rodas e todas as edições dos últimos 7 anos de Claudia, Superinteressante, VC S/A, Você RH e Veja Saúde, incluindo edições especiais e históricas no app.
*Pagamento único anual de R$23,88, equivalente a R$1,99/mês. Após esse período a renovação será de 118,80/ano (proporcional a R$ 9,90/mês).