Oferta Relâmpago: Super em Casa por 9,90

Tudo sobre varíola dos macacos

Mpox: África declara emergência pública em todo o continente por causa da doença

Mpox: África declara emergência pública em todo o continente por causa da doença

Por Bela Lobato 13 ago 2024, 11h44 | Atualizado em 14 ago 2024, 17h20
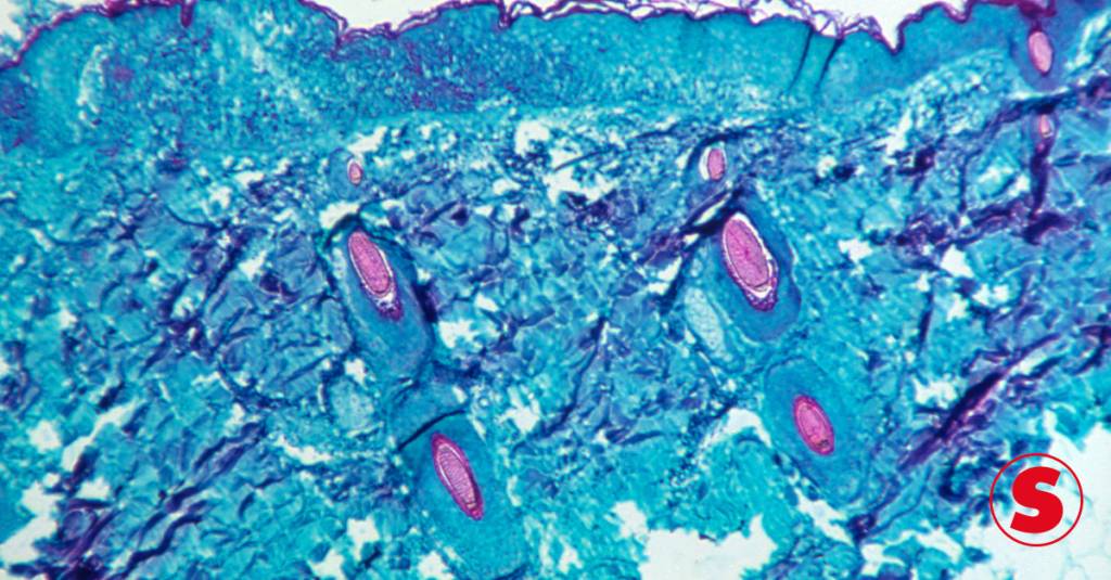
Varíola dos macacos: ela poderia ter sido evitada

Varíola dos macacos: ela poderia ter sido evitada

Por Bruno Garattoni Materia seguir SEGUIR Materia seguir SEGUINDO 18 ago 2022, 08h58 | Atualizado em 27 out 2022, 14h14
MPXV é "muito estável no ambiente", afirma relatório do Department of Homeland Security, que cita estudos sobre a persistência do vírus na água e em alimentos congelados; contato com pessoas e objetos infectados continua sendo o principal vetor da doença.
OMS declara emergência global devido ao avanço da doença, que já soma 16 mil infectados em 75 países. Entenda porque o contágio infantil representa uma nova fase - e o que pode acontecer daqui para a frente 
Varíola dos macacos: Brasil confirma primeiro caso da doença no país

Varíola dos macacos: Brasil confirma primeiro caso da doença no país

Por Leo Caparroz 8 jun 2022, 17h26 | Atualizado em 14 mar 2024, 08h05
Cenário é pior do que o inicial, em que risco global era considerado baixo; número de infecções confirmadas alcança 424; ampla transmissão entre humanos "já está ocorrendo", afirma novo relatório da OMS
Ela surgiu como um relâmpago: em pouquíssimos dias, já chegou a 16 países. Mas é causada por um vírus antigo, o MPXV, que circula há décadas e nunca provocou surtos internacionais. Por que ele está atacando agora? Há uma hipótese – e ela é perturbadora.
Continua após publicidade

Matéria exclusiva para assinantes. Faça seu login

Este usuário não possui direito de acesso neste conteúdo. Para mudar de conta, faça seu login

Domine o fato. Confie na fonte.

15 marcas que você confia. Uma assinatura que vale por todas

OFERTA RELÂMPAGO

Digital Completo

Enquanto você lê isso, o mundo muda — e quem tem Superinteressante Digital sai na frente.
Tenha acesso imediato a ciência, tecnologia, comportamento e curiosidades que vão turbinar sua mente e te deixar sempre atualizado
De: R$ 16,90/mês Apenas R$ 2,99/mês
ECONOMIZE ATÉ 63% OFF

Revista em Casa + Digital Completo

Superinteressante todo mês na sua casa, além de todos os benefícios do plano Digital Completo
De: R$ 26,90/mês
A partir de R$ 9,90/mês

*Acesso ilimitado ao site e edições digitais de todos os títulos Abril, ao acervo completo de Veja e Quatro Rodas e todas as edições dos últimos 7 anos de Claudia, Superinteressante, VC S/A, Você RH e Veja Saúde, incluindo edições especiais e históricas no app.
*Pagamento único anual de R$35,88, equivalente a R$2,99/mês. Após esse período a renovação será de 118,80/ano (proporcional a R$ 9,90/mês).